‘Aitheroscope’, proyecto español finalista en los Premios a la Innovación Social de Fundación Mapfre
La iniciativa española de Horus ML, que usa inteligencia artificial para detectar la aterosclerosis mediante retinografías, compite por 100.000 euros junto a proyectos de Brasil, México y Estados Unidos
El proyecto español ‘Aitheroscope’, desarrollado por Horus ML, ha sido seleccionado como uno de los cuatro finalistas de la novena edición de los ‘Premios a la Innovación Social’ impulsados por la Fundación Mapfre, en colaboración con IE University como socio académico.
Estos galardones tienen como objetivo “reconocer soluciones innovadoras con impacto social” que contribuyan a mejorar la calidad de vida y el bienestar de las personas. En la presente edición se han presentado un total de 469 proyectos, un 34% más que el año anterior, de los cuales solo cuatro han accedido a la fase final, representando a España, Brasil, México y Estados Unidos.
La final se celebrará el próximo 21 de mayo en Madrid. El proyecto ganador recibirá un premio de 100.000 euros, mientras que los otros tres finalistas obtendrán 10.000 euros cada uno, además de apoyo especializado para el desarrollo de sus iniciativas.
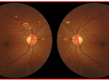
En el caso español, ‘Aitheroscope’ propone una solución tecnológica basada en inteligencia artificial para la detección precoz de la aterosclerosis en atención primaria mediante el análisis automatizado de retinografías.
Esta herramienta permite identificar signos de enfermedad cardiovascular en fases tempranas de forma no invasiva, facilitando el cribado en consultas habituales y mejorando la prevención. Su objetivo es “complementar los métodos diagnósticos tradicionales, más complejos y costosos, ampliando el acceso al diagnóstico temprano”.

El proyecto ‘Aitheroscope’ analiza el fondo del ojo | Foto de la Fundación Mapfre
Otras iniciativas internacionales seleecionadas
Junto al proyecto español, han sido seleccionadas otras tres iniciativas internacionales. Desde Brasil, ‘Livox’ ofrece una plataforma de comunicación inclusiva basada en inteligencia artificial que permite a personas con discapacidad comunicarse mediante sistemas adaptados a sus capacidades.
Desde México, ‘Duppla’ plantea una asistencia digital orientada a la prevención y detección temprana del cáncer mediante herramientas como test digitales, teleconsultas y seguimiento personalizado.
Por su parte, desde Estados Unidos, ‘MindMuscle’ desarrolla una solución de neurotecnología pediátrica que combina inteligencia artificial y neurofeedback para mejorar la atención en niños con trastornos como TDAH o autismo.
Además de la dotación económica, los proyectos finalistas recibirán formación y mentorización por parte de IE University y pasarán a integrarse en la Red Innova, una comunidad internacional de emprendedores sociales que fomenta el intercambio de conocimiento y la visibilidad ante inversores.
Con esta iniciativa, Fundación Mapfre refuerza su apuesta por la innovación social como herramienta para “dar respuesta” a retos globales en ámbitos como la salud, la inclusión y el bienestar.
CAB/DR.
Fuente: Agencia Servimedia.



